PREOCUPACIÓN MUNDIAL: AUMENTARÁN LOS CASOS DE CÁNCER DE PULMÓN EN MUJERES CASI UN 45%
Los datos son escalofriantes y marcan una tendencia en alza entre 2015 y 2030
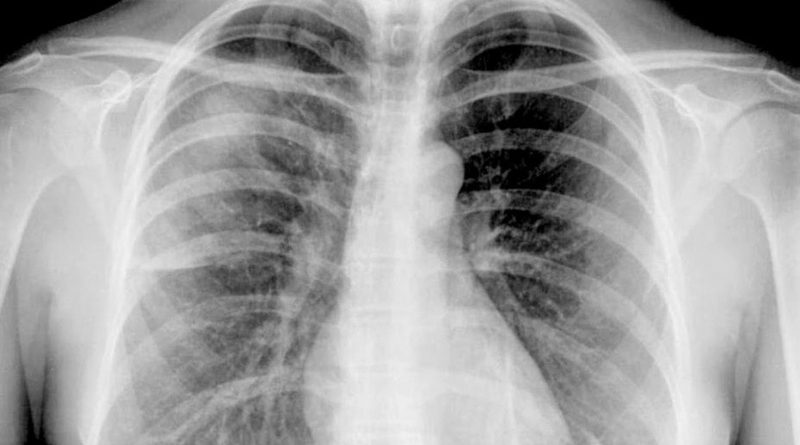
La tasa mundial de mortalidad por cáncer de pulmón en mujeres aumentará en un 43 % entre 2015 y 2030, mientras que en cáncer de mama disminuirá un 9 %, según un estudio realizado en 52 países por un equipo internacional de cientificos
Los resultados se publican en Cancer Research, revista de la Asociación Americana para la Investigación del cancer y el trabajo lo lidera José M. Martínez-Sánchez, responsable del grupo de investigación de evaluación de determinantes de salud y políticas sanitarias de la Universitat Internacional de Catalunya (UIC Barcelona).
Consumo de tabaco, una epidemia
Para este epidemiólogo, se han hecho “grandes avances” en la reducción de la mortalidad por cáncer de mama a nivel mundial, pero en cáncer de pulmón la tasa de mortalidad continúa aumentando entre las mujeres debido al consumo de tabaco: “si no implementamos medidas para reducir su consumo en esta población, la mortalidad por cáncer de pulmón seguirá aumentando entre las mujeres en todo el mundo; incluso podrá superar a la mortalidad por cáncer de mama”.
Estudios anteriores habían hecho proyecciones de la tasa de mortalidad por estos dos tumores en mujeres, pero centrados en un único país o continente; se trata de uno de los primeros trabajos realizados a escala mundial, señala Martínez-Sánchez en una nota de prensa de la Asociación Americana para la Investigación del Cáncer.
Los datos analizados son de la Organización Mundial de la Salud (OMS) del período 2008-2015, tanto de muertes por estos cánceres como de población en los 52 países, a partir de los cuales se calculó la tasa estandarizada de mortalidad en ambas enfermedades -esta tasa quita el efecto de la distribución por edad para poder comparar así todos los países-.
Así, según este estudio, las tasas más altas de mortalidad estandarizada por cáncer de pulmón en 2030 se proyectan en Europa y Oceanía, mientras que las más bajas de mortalidad por este mismo cáncer se proyectan en América y Asia.
A nivel mundial, se prevé que las muertes por este tumor pasen de 11,2 por cada 100.000 mujeres a 16 cada 100.000 mujeres en 2030.
Las mujeres llegaron al consumo de tabaco más tarde que los hombres -al principio para ellas estaba socialmente mal visto-, por eso ahora se ve un mayor incremento de las tasas de mortalidad por cáncer de pulmón en ellas que en ellos: ante estos datos, Martínez-Sánchez indica que hay que atacar esta diferencia de género en la epidemia del tabaco.
En cuanto al cáncer de mama, este trabajo apunta que a nivel mundial se prevé que la tasa de mortalidad disminuya de 16,1 mujeres fallecidas por cada 100.000 en 2015 a 14,7 mujeres en 2030.
Cáncer de mama
La reducción más alta de mortalidad por este tumor se pronostica en Europa, aunque aún presenta la tasa más elevada. La mencionada disminución está relacionada con la mejora de los tratamientos y detección precoz del cáncer de mama (cribado poblacional), así como una mayor concienciación entre la población.
“El cáncer de mama también se relaciona con la obesidad o consumo de alcohol”, según el investigador de la UIC Barcelona, por eso en Asia podemos ser testigos de un incremento de las muertes por este tumor debido a que en algunos de estos países orientales se están adaptando estilos de vida occidentalizados, que “a menudo conducen a la obesidad y aumento de la ingesta de alcohol”.
En comparación con los países de ingresos medios, los países de ingresos altos tienen las tasas de mortalidad por cáncer de pulmón y de mama más altas proyectadas para 2030. Sin embargo, es más probable que los países de ingresos altos tengan una tendencia decreciente de las tasas de mortalidad por cáncer de mama de 2015 a 2030.

